Χολολιθίαση

Τί είναι η χολολιθίαση?

Ως χολολιθίαση ορίζεται η παρουσία λίθων μέσα στη χοληδόχο κύστη (οι γνωστές σε όλους “πέτρες στη χολή”). Στον ορισμό αυτό συμπεριλαμβάνεται και η μικρολιθίαση δηλαδή η παρουσία άμμου ή λάσπης (sludge) εντός της χοληδόχου κύστης αφού στην ουσία πρόκειται για πρόδρομο στάδιο της ίδιας πάθησης η οποία, με την πάροδο του χρόνου, θα εξελιχθεί σε τυπική χολολιθίαση. Σε ένα ποσοστό 10-15% των περιπτώσεων κάποιοι χολόλιθοι μετακινούνται από τη χοληδόχο κύστη και μέσω του κυστικού πόρου εισέρχονται στον χοληδόχο πόρο. Η παθολογική κατάσταση που προκύπτει τότε ονομάζεται χοληδοχολιθίαση.
Οι χολόλιθοι ανάλογα με τη χημική τους σύσταση διακρίνονται σε δύο τύπους: τους χοληστερινικούς οι οποίοι έχουν ως κύριο συστατικό την χοληστερόλη, έχουν χρώμα κίτρινο-πράσινο και είναι οι συνηθέστεροι στη Δύση (περίπου το 80%) και τους χολερυθρινικούς οι οποίοι έχουν ως κύριο συστατικό τη χολερυθρίνη, έχουν μαύρο ή σκούρο καφέ χρώμα και είναι πιο συχνοί στην Άπω Ανατολή.

Ανατομία Ήπατος, Παγκρέατος, Χοληφόρων

Οι χοληστερινικοί λίθοι σχηματίζονται όταν υπάρχει υπερκορεσμός του διαλύματος της χολής με χοληστερόλη. Αν και ο ακριβής μηχανισμός δεν είναι γνωστός, φαίνεται ότι η χοληδόχος κύστη παίζει καθοριστικό ρόλο στη λιθογένεση τόσο παρέχοντας τον πυρήνα από χολικά άλατα και βλεννοπρωτεΐνες πάνω στον οποίο αναπτύσσονται οι λίθοι όσο και προκαλώντας στάση της χολής εντός αυτής. Η χολική στάση φαίνεται να αποτελεί αναγκαία συνθήκη για την πυροδότηση του μηχανισμού της λιθογένεσης. Είναι χαρακτηριστικό άλλωστε ότι οι χολόλιθοι σχεδόν πάντοτε σχηματίζονται μέσα στον αυλό της χοληδόχου κύστης και σχεδόν ποτέ στα χοληφόρα αγγεία (δηλαδή στα “σωληνάκια”). Αυτός επίσης είναι και ο λόγος που η χολοκυστεκτομή (δηλαδή η αφαίρεση της χοληδόχου κύστης) επιφέρει πάντοτε την ίαση της νόσου. Παράγοντες κινδύνου για την εμφάνιση χοληστερινικών λίθων αποτελούν το γυναικείο φύλο, η Δυτική καταγωγή, η προχωρημένη ηλικία, η παχυσαρκία και το επακόλουθο μεταβολικό σύνδρομο, η εγκυμοσύνη, η χολική στάση, κάποια φάρμακα, η κληρονομικότητα και χρόνιες παθήσεις του ειλεού. Οι χολερυθρινικοί λίθοι σε αντιδιαστολή ανευρίσκονται συνήθως σε ασθενείς με χρόνιες αιμολυτικές αναιμίες (π.χ. μεσογειακή ή δρεπανοκυτταρική αναιμία) ή σε ασθενείς με κίρρωση του ήπατος ή με χρόνια επιμόλυνση των χοληφόρων με παράσιτα ή άλλα μικρόβια.

Ανατομία Χοληδόχου Κύστης

Η χολολιθίαση σχεδόν πάντα προκαλεί χρόνια φλεγμονή του τοιχώματος της χοληδόχου κύστης (δηλαδή χρόνια χολοκυστίτιδα), η οποία εκδηλώνεται με πάχυνση του τοιχώματος της κύστης και απώλεια της ελαστικότητάς της. Πρόκειται για ιδιαίτερα συχνή νόσο καθώς υπολογίζεται ότι το 10-15% των ανδρών και 30-35% των γυναικών στη Δύση θα εμφανίσουν “πέτρες στη χολή” κατά τη διάρκεια της ζωής τους. Υπολογίζεται επίσης ότι στις Δυτικές κοινωνίες κάθε χρόνο το 1-3% του πληθυσμού εμφανίζει συμπτωματική χολολιθίαση. Όπως αναφέρθηκε ήδη, η νόσος είναι πιο συχνή στις γυναίκες ιδιαίτερα κατά την αναπαραγωγική τους ηλικία όταν η συχνότητα της νόσου είναι σχεδόν τριπλάσια σε σχέση με τους άνδρες αντίστοιχης ηλικίας. Η διαφορά αυτή αποδίδεται στα οιστρογόνα τα οποία αυξάνουν την έκκριση χοληστερόλης στη χολή. Στις μεγαλύτερες ηλικίες η διαφορά στη συχνότητα της χολολιθίασης μεταξύ γυναικών και ανδρών μειώνεται αλλά ποτέ δεν εξαλείφεται.

Διανοιγμένη Χοληδόχος Κύστη και Χοληδόχος Πόρος

Πώς εκδηλώνεται η χολολιθίαση?

Κλινικά, η χολολιθίαση εκδηλώνεται με έναν από τους παρακάτω τρόπους:

1. Ως ασυμπτωματική χολολιθίαση, δηλαδή σε ασθενείς που, χωρίς να έχουν συμπτώματα, υποβλήθηκαν σε υπερηχογράφημα κοιλίας για άλλο λόγο ή στα πλαίσια προσυμπτωματικού ελέγχου (check-up). Εξαιτίας της ολοένα και πιο συχνής χρήσης του υπερηχογραφήματος για προληπτικούς λόγους, το ποσοστό των ασθενών με χολολιθίαση που διαγιγνώσκονται πριν αναπτύξουν συμπτώματα έχει αυξηθεί τα τελευταία χρόνια. Παρ' όλα αυτά, η αντιμετώπισή τους παραμένει αμφιλεγόμενη. Κάποιοι γαστρεντερολόγοι συστήνουν παρακολούθηση στους ασυμπτωματικούς ασθενείς και χειρουργική επέμβαση μόνο σε εκείνους με συμπτώματα. Μία τέτοια τακτική όμως φαίνεται μάλλον παρακινδυνευμένη, καθώς σε κάθε περίπτωση η μεγάλη πλειοψηφία των ασθενών αυτών θα αναπτύξουν συμπτώματα με την πάροδο του χρόνου και, δυστυχώς, ένα σημαντικό ποσοστό αυτών θα έχει ως πρώτη εκδήλωση μία επιπλοκή της χολολιθίασης όπως πχ οξεία παγκρεατίτιδα, η οποία έχει από μόνη της σημαντική νοσηρότητα αλλά και θνητότητα. Από την άλλη μεριά, ενώ η λαπαροσκοπική χολοκυστεκτομή είναι μία πολύ ασφαλής επέμβαση όταν γίνεται προγραμματισμένα σε ασθενείς με ήπια ή χωρίς συμπτώματα, οι κίνδυνοι του χειρουργείου αυξάνονται σημαντικά στις περιπτώσεις οξείας χολοκυστίτιδας ή χολαγγειίτιδας και ιδιαίτερα στους πιο ηλικιωμένους ασθενείς. Κατά συνέπεια, η κρατούσα άποψη είναι να συστήνεται λαπαροσκοπική χολοκυστεκτομή σε όλους τους ασθενείς με χολολιθίαση με εξαίρεση ίσως εκείνους που έχουν ούτως ή άλλως μικρό προσδόκιμο επιβίωσης, όπως είναι για παράδειγμα οι πολύ ηλικιωμένοι ασθενείς και οι ασθενείς με πολύ βαριά συνυπάρχοντα νοσήματα.

Κωλικός Χοληφόρων

2. Ως συμπτωματική χολολιθίαση, δηλαδή με τυπικό κοιλιακό άλγος (κωλικό των χοληφόρων) ή με άτυπα δυσπεπτικά ενοχλήματα. Ο κωλικός των χοληφόρων (ή κωλικός του ήπατος όπως αλλιώς λέγεται) συμβαίνει όταν μετά από σύσπαση της χοληδόχου κύστης κάποιος λίθος σφηνώνεται στον αυχένα της χοληδόχου κύστης ή στον κυστικό πόρο με αποτέλεσμα να παρεμποδίζεται η απορροή της χολής και να αυξάνεται σημαντικά η πίεση εντός του αυλού της κύστης. Τυπικά ο πόνος διαρκεί από λίγα λεπτά έως αρκετές ώρες και σταματάει όταν χαλαρώσει το τοίχωμα της χοληδόχου κύστης και ο λίθος ξαναπέσει στον αυλό της. Στους ασθενείς με χολολιθίαση τα επεισόδια του πόνου είναι επαναλαμβανόμενα και απρόβλεπτα. Συνήθως ο πόνος ξεκινάει 30 – 60 λεπτά μετά από τη λήψη κάποιου λιπαρού γεύματος, εντοπίζεται στο επιγάστριο ή στο δεξιό υποχόνδριο και συχνά αντανακλά στη δεξιά ωμοπλάτη. Ο πόνος περιγράφεται ως αμβλύς και ιδιαίτερα ισχυρός, η έντασή του κορυφώνεται μέσα σε 10 – 15 λεπτά και στη συνέχεια για όσο διαρκέσει παραμένει σταθερός χωρίς να επηρεάζεται από τη στάση του σώματος, τις κινήσεις ή την αναπνοή ενώ συχνά συνοδεύεται από εφιδρώσεις, ναυτία και εμέτους.
Εκτός από τον τυπικό κωλικό των χοληφόρων, άλλα συμπτώματα που συσχετίζονται συχνά με τη χολολιθίαση είναι κάποια άτυπα δυσπεπτικά ενοχλήματα όπως καούρες, ναυτίες, φουσκώματα και δυσανεξία στο λίπος. Αυτά τα συμπτώματα συναντώνται συχνά και σε άλλες συνηθισμένες παθήσεις όπως γαστρο-οισοφαγική παλινδρόμηση, γαστρίτιδα, πεπτικό έλκος και ευερέθιστο έντερο και δεν πρέπει να αποδίδονται αυτομάτως στις πέτρες. Ασθενείς με υπερηχογραφικά επιβεβαιωμένη χολολιθίαση και άτυπα συμπτώματα θα πρέπει να υποβάλλονται σε περαιτέρω έλεγχο (πχ με γαστροσκόπηση) και να ενημερώνονται ότι ενδεχόμενη χολοκυστεκτομή θα θεραπεύσει τα συμπτώματά τους στο 50 – 70% των περιπτώσεων. Σε αντιδιαστολή, το σύνολο των ασθενών με τυπικό κωλικό των χοληφόρων θα απαλλαγούν από τα συμπτώματά τους μετά από την χολοκυστεκτομή.

Χολολιθίαση

3. Ως επιπλεγμένη χολολιθίαση, δηλαδή με κάποια από τις επιπλοκές της νόσου, οι οποίες διακρίνονται σε δύο κατηγορίες: τις επιπλοκές της χολολιθίασης (δηλαδή των λίθων που έχουν παραμείνει εντός της χοληδόχου κύστης) και τις επιπλοκές της χοληδοχολιθίασης (δηλαδή των λίθων που έχουν μετακινηθεί προς τον αυλό του χοληδόχου πόρου). Η κύρια επιπλοκή της χολολιθίασης είναι η οξεία χολοκυστίτιδα δηλαδή η φλεγμονή του τοιχώματος της χοληδόχου κύστης η οποία προκύπτει όταν υπάρχει παρατεταμένη απόφραξη του κυστικού πόρου από κάποιο χολόλιθο και στάση της χολής. Με την πάροδο του χρόνου η χολή αποικίζεται από μικρόβια που μπορεί να οδηγήσει σε συλλογή πύου εντός της χοληδόχου κύστης μία κατάσταση που καλείται εμπύημα της χοληδόχου κύστης. Αν δεν αντιμετωπισθεί έγκαιρα, η χολοκυστίτιδα μπορεί να προκαλέσει νέκρωση (γάγγραινα) ή και διάτρηση του τοιχώματος της χοληδόχου κύστης με επακόλουθη διαφυγή της χολής στην περιτοναϊκή κοιλότητα και τελικά τοπική περιτονίτιδα και ενδεχομένως απόστημα ή και σπανιότερα γενικευμένη περιτονίτιδα. Σε σπάνιες περιπτώσεις ένας μεγάλος χολόλιθος μπορεί να προκαλέσει διάβρωση του τοιχώματος της χοληδόχου κύστης που μπορεί να οδηγήσει σε δημιουργία συριγγίου (δηλαδή επικοινωνίας) με γειτονικά όργανα, συνήθως το δωδεκαδάκτυλο. Ο χολόλιθος στη συνέχεια μπορεί να μετακινηθεί από τη χοληδόχο κύστη προς το λεπτό έντερο και τελικά να προκαλέσει απόφραξη του αυλού του εντέρου μία κατάσταση η οποία καλείται ειλεός εκ χολολίθου. Ακόμα σπανιότερα, η χρόνια φλεγμονή του τοιχώματος της χοληδόχου κύστης μετά από πολλά χρόνια μπορεί να οδηγήσει στην ανάπτυξη καρκίνου της χοληδόχου κύστης ο οποίος δυστυχώς έχει πολύ κακή πρόγνωση.
Οι επιπλοκές της χοληδοχολιθίασης περιλαμβάνουν την απόφραξη του χοληδόχου πόρου η οποία εκδηλώνεται επίσης με κωλικό των χοληφόρων και μπορεί να συνοδεύεται από ίκτερο. Αν η απόφραξη είναι παρατεταμένη, η χολή επιμολύνεται από μικρόβια τα οποία προκαλούν σοβαρή λοίμωξη εντός του χοληφόρου δένδρου, μία πολύ σοβαρή κατάσταση η οποία ονομάζεται ανιούσα χολαγγειίτιδα. Μικρότερες πέτρες οι οποίες διέρχονται από τη λήκυθο του Vater μπορεί να προκαλέσουν παροδική απόφραξη του παγκρεατικού πόρου και ενδοπαρεγχυματική ενεργοποίηση των παγκρεατικών ενζύμων γεγονός που μπορεί να πυροδοτήσει ένα επεισόδιο οξείας παγκρεατίτιδας, δηλαδή φλεγμονής του παγκρέατος. Όλες οι παραπάνω επιπλοκές της χολολιθίασης έχουν σημαντική νοσηρότητα και θνητότητα, ιδιαίτερα σε πιο ηλικιωμένους ασθενείς με άλλα συνυπάρχοντα νοσήματα.

Χοληδοχολιθίαση

Πώς διαγιγνώσκεται η χολολιθίαση?

Η διάγνωση της χολολιθίασης στηρίζεται στο ιστορικό (δηλαδή τα συμπτώματα) του ασθενούς και στην κλινική εξέταση που θα πραγματοποιήσει ο χειρουργός, ενώ επιβεβαιώνεται με ειδικές εξετάσεις. Όπως έχει ήδη αναφερθεί, η κλινική εικόνα της χολολιθίασης εμφανίζει μεγάλη ποικιλομορφία. Ο ασθενής με πέτρες μπορεί να είναι εντελώς ασυμπτωματικός, ή να αναφέρει ήπια ακαθόριστα ενοχλήματα, ή να έχει έντονο κοιλιακό άλγος (κωλικό των χοληφόρων) ή να εμφανίσει μία από τις επιπλοκές της νόσου μερικές από τις οποίες είναι πολύ βαριές και ενδεχομένως απειλητικές για τη ζωή του ανθρώπου. Τα ευρήματα της κλινικής εξέτασης επίσης έχουν μεγάλο εύρος. Η εξέταση μπορεί να είναι εντελώς φυσιολογική ή να αναδείξει ήπια ευαισθησία στην κοιλιά ή σε βαρύτερες περιπτώσεις εικόνα τοπικής ή γενικευμένης περιτονίτιδας ή και σηπτικής καταπληξίας.

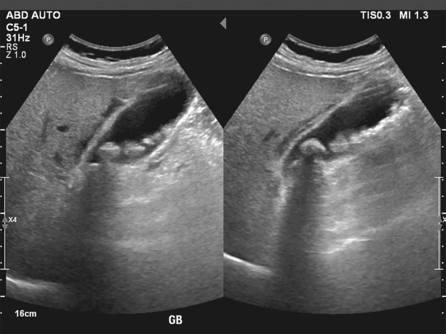
Υπερηχογράφημα Χοληδόχου Κύστης

Σε μη επιπλεγμένη χολολιθίαση οι αιματολογικές εξετάσεις συνήθως είναι φυσιολογικές. Σε περιπτώσεις όμως οξείας χολοκυστίτιδας ή χολαγγειίτιδας, οι δείκτες φλεγμονής όπως τα λευκά αιμοσφαίρια, η ταχύτητα καθίζησης ερυθροκυττάρων και η CRP είναι συνήθως αυξημένοι. Όταν συνυπάρχει υψηλός πυρετός και εικόνα σηψαιμίας, οι καλλιέργειες αίματος μπορεί να βγαίνουν θετικές. Σε περιπτώσεις απόφραξης του χοληδόχου πόρου (δηλαδή χοληδοχολιθίασης) και ειδικά όταν συνυπάρχει ίκτερος, είναι παθολογικοί οι βιοχημικοί δείκτες της ηπατικής λειτουργίας όπως η χολερυθρίνη, οι τρανσαμινάσες, η αλκαλική φωσφατάση και η γ-GT ενώ στην οξεία λιθιασική παγκρεατίτιδα αυξάνεται σημαντικά η αμυλάση του αίματος και των ούρων. Σους ασθενείς με χολολιθίαση κι όταν ακόμη δεν υπάρχει κλινική υποψία χοληδοχολιθίασης, θα πρέπει να ελέγχονται οι προαναφερθέντες δείκτες ηπατικής λειτουργίας και αν είναι παθολογικοί θα πρέπει να γίνεται έλεγχος των χοληφόρων με μαγνητική τομογραφία πριν τη διενέργεια λαπαροσκοπικής χολοκυστεκτομής.

Αξονική Τομογραφία

Το υπερηχογράφημα άνω κοιλίας είναι η εξέταση εκλογής όταν υπάρχει υποψία χολολιθίασης. Είναι η πιο ευαίσθητη, η πιο ειδική και η πιο φτηνή μη επεμβατική εξέταση για τη διάγνωση της νόσου. Επιπροσθέτως, ως εξέταση, είναι απλή, γρήγορη, ανώδυνη, ασφαλής ακόμη και κατά τη διάρκεια της εγκυμοσύνης και δεν εκθέτει τον ασθενή στους κινδύνους της ακτινοβολίας και του ενδοφλέβιου σκιαγραφικού. Η ευαισθησία του υπερηχογραφήματος για την ανεύρεση λίθων > 2mm στον αυλό της χοληδόχου κύστης προσεγγίζει το 99%. Είναι επίσης πολύ υψηλή για τη διάγνωση οξείας χολοκυστίτιδας οπότε συνυπάρχουν πάχυνση του τοιχώματος της χοληδόχου κύστης και οίδημα γύρω από αυτό. Αντιθέτως, για ανατομικούς λόγους, η ευαισθησία της εξέτασης για την ανεύρεση λίθων εντός του χοληδόχου πόρου πέφτει σημαντικά (στο 30-40%) αν και στις περιπτώσεις αυτές ακόμη, μπορεί να συνυπάρχουν κάποια έμμεσα σημεία όπως είναι η διάταση των ενδοηπατικών και των εξωηπατικών χοληφόρων. Η αξονική τομογραφία είναι εξίσου καλή με το υπερηχογράφημα στη διάγνωση της οξείας χολοκυστίτιδας και πιο ευαίσθητη στην απεικόνιση της χοληδοχολιθίασης, αλλά κυρίως χρησιμοποιείται σε περιπτώσεις οξείας κοιλίας για να αποκλεισθούν αίτια από άλλα ενδοκοιλιακά όργανα. Η καλύτερη εξέταση για την αναζήτηση λίθων εντός του χοληδόχου πόρου είναι η μαγνητική χολαγγειο-παγκρεατογραφία (MRCP) η οποία είναι μία παραλλαγή της μαγνητικής τομογραφίας και πρέπει να διενεργείται όταν υπάρχουν κλινικές ή βιοχημικές ή άλλες απεικονιστικές ενδείξεις χοληδοχολιθίασης πριν από την χειρουργική αφαίρεση της χοληδόχου κύστης.

MRCP

Πώς αντιμετωπίζεται η χολολιθίαση?

Η αντιμετώπιση της χολολιθίασης είναι χειρουργική και περιλαμβάνει την αφαίρεση της χοληδόχου κύστης. Η επέμβαση ονομάζεται χολοκυστεκτομή και τα τελευταία χρόνια γίνεται σχεδόν πάντοτε λαπαροσκοπικά. Αυτό σημαίνει ότι οι χειρουργούμενοι ασθενείς επωφελούνται από τα γενικότερα πλεονεκτήματα της λαπαροσκοπικής χειρουργικής που περιλαμβάνουν ταχύτερη ανάρρωση, βραχύτερο χρόνο νοσηλείας, λιγότερο μετεγχειρητικό πόνο, λιγότερα προβλήματα σχετιζόμενα με τις τομές (μολύνσεις, μετεγχειρητικές κήλες κλπ) και καλύτερο κοσμητικό αποτέλεσμα. Κατά κανόνα οι ασθενείς νοσηλεύονται για λίγες ώρες ή μία ημέρα το πολύ και επιστρέφουν στην εργασία τους και στις συνήθεις δραστηριότητές τους μετά από λίγες ημέρες. Σε ασθενείς με ήπια συμπτώματα και χωρίς επιπλοκές της χολολιθίασης η επέμβαση μπορεί να γίνει προγραμματισμένα μετά από ένα εύλογο χρονικό διάστημα. Αντιθέτως, οι ασθενείς με οξεία χολοκυστίτιδα πρέπει να εισάγονται επειγόντως στο νοσοκομείο και μετά από μία βραχείας διάρκειας ανάνηψη με ενδοφλέβια υγρά, παυσίπονα και αντιβίωση πρέπει να υποβάλλονται σε λαπαροσκοπική χολοκυστεκτομή, αν είναι δυνατόν, εντός 48 ωρών από την έναρξη των συμπτωμάτων. Η παλαιότερη άποψη ότι η οξεία χολοκυστίτιδα πρέπει να αντιμετωπίζεται συντηρητικά και το χειρουργείο να γίνεται προγραμματισμένα μετά την παρέλευση 6-8 εβδομάδων είναι λανθασμένη γιατί έχει βρεθεί ότι αυτή η τακτική τελικά εγκυμονεί περισσότερους κινδύνους συγκρινόμενη με την άμεση χειρουργική αντιμετώπιση στην οξεία φάση.

Λαπαροσκοπική Χολοκυστεκτομή

Οι ασθενείς με αποδεδειγμένους απεικονιστικά λίθους στον χοληδόχο πόρο (δηλαδή χοληδοχολιθίαση), ιδιαίτερα δε όταν συνυπάρχει λοίμωξη των χοληφόρων (δηλαδή ανιούσα χολαγγειίτιδα), πριν υποβληθούν σε χολοκυστεκτομή θα πρέπει να υποβάλλονται σε ενδοσκοπική παλίνδρομη χολαγγειο-παγκρεατογραφία (ERCP) και προσπάθεια καθαρισμού του χοληδόχου πόρου από τις πέτρες. Η ERCP είναι μία επεμβατική πράξη, η οποία πραγματοποιείται ενδοσκοπικά από εξειδικευμένους γαστρεντερολόγους. Χρησιμοποιώντας ειδικό εξοπλισμό, γίνεται καθετηριασμός του κάτω στομίου του χοληδόχου πόρου στο δωδεκαδάκτυλο (δηλαδή του φύματος του Vater) και σε πρώτη φάση γίνεται έγχυση σκιαγραφικής ουσίας υπό ακτινοσκοπικό έλεγχο για να επιβεβαιωθεί η παρουσία λίθων εντός του αυλού. Εάν πράγματι υπάρχουν λίθοι, ακολουθεί η λεγόμενη σφιγκτηροτομή για να διευρυνθεί το στόμιο του χοληδόχου πόρου. Στη συνέχεια, μέσα από το διευρυμένο στόμιο εισάγονται ειδικά μπαλονάκια ή καλαθάκια με τη βοήθεια των οποίων γίνεται προσπάθεια αφαίρεσης των λίθων. Πριν ολοκληρωθεί η επέμβαση συνήθως τοποθετείται εντός του αυλού ένα ειδικό stent για να διευκολυνθεί η απορροή της χολής και τυχόν τριμμάτων που ενδεχομένως να έχουν απομείνει. Εάν η όλη διαδικασία δεν είναι επιτυχής, συγχρόνως με την επακόλουθη χολοκυστεκτομή θα πρέπει να διενεργείται χειρουργική διερεύνηση και καθαρισμός του χοληδόχου πόρου ο οποίος μπορεί να πραγματοποιηθεί επίσης λαπαροσκοπικά αλλά αυξάνει σημαντικά την πολυπλοκότητα και τη βαρύτητα της επέμβασης.

ERCP